Notícias

Brasil perde uma vida a cada seis minutos por AVC, mas maioria dos casos é evitável

Controle da pressão, boa alimentação e prática de exercícios poderiam evitar até 80% dos casos, alertam médicos.

Brasil perde uma vida a cada seis minutos por AVC, mas maioria dos casos é evitável
Foto: Neurolink.med

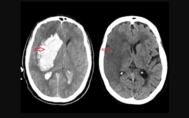
O Acidente Vascular Cerebral (AVC) continua sendo uma das principais causas de morte no Brasil. Só neste ano, entre janeiro e outubro, mais de 64 mil brasileiros morreram por causa da doença — o que equivale a uma morte a cada seis minutos, segundo o Ministério da Saúde.

Especialistas afirmam que oito em cada dez casos poderiam ser evitados com medidas simples: controlar a pressão arterial, abandonar o cigarro, praticar atividades físicas e cuidar da alimentação. A hipertensão, silenciosa e muitas vezes ignorada, é apontada como o principal fator de risco.

O AVC pode ser isquêmico (quando há entupimento de vasos sanguíneos, responsável por 85% dos casos) ou hemorrágico (causado por rompimento de vasos). O primeiro é mais comum; o segundo, mais grave.

A doença, antes associada a idosos, vem crescendo entre os jovens. Dados da Sociedade Brasileira de AVC mostram que os casos em pessoas com menos de 45 anos aumentaram 66% na última década. Médicos atribuem o avanço ao sedentarismo, cigarro eletrônico, uso de anabolizantes e anticoncepcionais hormonais, além de estresse e noites mal dormidas.

Os sinais do AVC aparecem de forma súbita: rosto torto, fala enrolada, fraqueza em um dos lados do corpo e dor de cabeça intensa. Nesses casos, a orientação é agir rápido e chamar o SAMU (192). Quanto antes o atendimento, maiores as chances de recuperação.

Apesar dos avanços nos tratamentos, os especialistas reforçam: prevenir ainda é o melhor remédio.

 Enzo Zotta / WH Comunicações

----------------------
Receba GRATUITAMENTE nossas NOTÍCIAS! CLIQUE AQUI
----------------------

Envie sua sugestão de conteúdo para a redação:
Whatsapp Business PORTAL SMO NOTÍCIAS (49) 9.9979-0446 / (49) 3621-4806

Cotações

Clima

Sábado
Máxima 23º - Mínima 14º
Céu nublado com aguaceiros e tempestades

Domingo
Máxima 22º - Mínima 10º
Períodos nublados

Segunda
Máxima 22º - Mínima 16º
Períodos nublados com aguaceiros e tempestades

Terça
Máxima 28º - Mínima 17º
Céu limpo

Quarta
Máxima 28º - Mínima 18º
Períodos nublados com chuva fraca

Sobre os cookies: usamos cookies para personalizar anúncios e melhorar a sua experiência no site. Ao continuar navegando, você concorda com a nossa Política de Privacidade.